肝脏gdp值_肝脏位置
时间:2021-03-08 09:56 类别:热点图片
美国三季度gdp终值增长2.0 ,个人消费和企业支出是 功臣
jpeg,447x583,66561b
路透称,美国三季度gdp终值好于预期,表明三季度经济增长相
jpeg,443x573,62249b
路透称,美国三季度gdp终值好于预期,表明三季度经济增长相当健康,
jpg,303x600,139830b
一些保守的估计认为,这场地震的损失可能占到尼泊尔gdp的30%至40%,而悲观的估计则认为会超过尼泊尔一年的gdp总值.
jpg,314x550,37622b
美国第四季度gdp终值增长0.4%
jpg,373x514,41852b
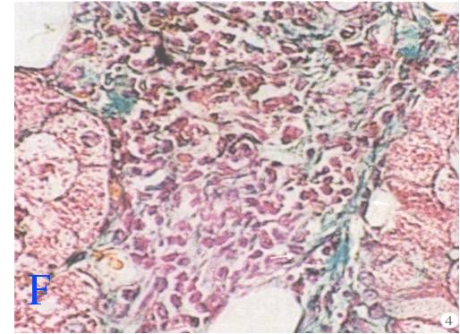
s4期肝脏剪切波值及病理_ a:肝左叶浅部;b:肝左叶深部;c:肝右叶浅部;d:肝右叶深部;e: he染色*20;f:masson染色*200_ s3期肝脏剪切波值及病理_ a:肝左叶浅部;b:肝左叶深部;_ c:肝右叶浅部;d:肝右叶深部;
png,300x545,7573b
美国第四季度gdp初值三年半首现萎缩
jpeg,249x500,8134b
美国gdp终值(年化)
jpeg,398x737,32258b
以地方政府负有偿还责任债务与gdp比值来看地方政府的负债率情况,我们发现,经济数据出现问题的省份负债率较高,前期靠举债投资拉动经济增长的弊端逐渐显现.
jpg,269x450,23272b
2011年上半年国内生产总值gdp情况
png,344x537,24837b
s4期肝脏剪切波值及病理_ a:肝左叶浅部;b:肝左叶深部;c:肝右叶浅部;d:肝右叶深部;e: he染色*20;f:masson染色*200_ s3期肝脏剪切波值及病理_ a:肝左叶浅部;b:肝左叶深部;_ c:肝右叶浅部;d:肝右叶深部;
jpeg,455x737,44353b
欧元区三季度gdp终值同比增长2.6 高于预期
jpg,385x600,27442b
图中横坐标是年份,纵坐标是gdp值,单位是十亿美元,采用对数刻度;右侧是图例,按2014年gdp值的大小从上到下排列.
jpeg,315x560,178993b
一方面,中国经济增速在2016年出现企稳态势,前三个季度gdp同比增速均稳定在6.7%,第四季度小幅反
jpg,288x640,46688b
李录 资产管理与价值投资
jpeg,512x640,27684b
血清afp预测肝癌价值高不高 能否诊断乙型肝炎相关肝癌
jpg,447x547,33246b
其他分项显示,美国三季度gdp平减指数初值增长1.2%,预期增长1.4%,前值增长2.
jpeg,389x554,38586b
其余肝实质ct值正常(63hu).
jpeg,577x512,49341b
美国一季度gdp终值萎缩0.2 汇市反应平淡黄金扩大跌幅
jpeg,418x567,30682b
注:虚线为信贷与gdp比值的长期趋势,虚线与实现之间的阴影部分为信贷缺口.
推荐阅读
相关文章阅读
- 最新文章
- 总排名
- 每月排行
- 推荐阅读
- 阅读排行
- 延伸阅读














